
Cardiac blood clot formation (thrombosis) can be a life-threatening condition in people with a weak heart that contributes to the incidence of stroke. Cardiologists currently do not have a tool to identify patients with an increased risk of cardiac thrombosis who would benefit from blood thinners, therefore the vast majority of these patients are not treated despite being at risk. This problem leads to tens of thousands of preventable strokes per year in the US alone.

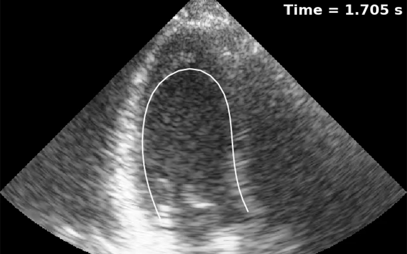
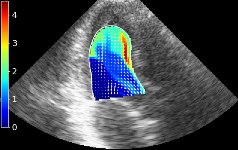
Veocor has developed the first cloud-based tool to diagnose the risk of cardiac thrombus formation and associated stroke. Veocor’s AI-powered technology quickly analyzes standard ultrasound images to provide a measure of blood flow in the left ventricle and identify regions at risk of thrombus formation. No additional hardware or training is required: cardiologists will be able to risk-stratify patients and identify who would benefit from anticoagulation.

In the US 3+ million people per year have congestive heart failure caused by LV dysfunction, with a five times greater risk of stroke than the normal population. Veocor’s analysis can be transferred to the clinical setting to guide personalized decisions about the use of anticoagulation therapies. Veocor is preparing to pursue FDA regulatory clearance via the 510(K) route to allow doctors to diagnose ventricular thrombosis in the clinical setting.